Welcome to San Mateo Dental Care – your trusted partner for comprehensive dental health in the Bay Area. Led by Dr. Taw and Dr. Tran, our dentist in San Mateo team is dedicated to providing top-tier, all-in-one dental care for adults and teenagers. Offering a full spectrum of services all under one roof, from advanced implants and wisdom teeth extractions to aesthetic enhancements and state-of-the-art same-day crowns, we are committed to delivering exceptional results with a personal touch.
Read More
Our Mission
We’re driven by a simple yet powerful mission: to provide exceptional dental care that makes maintaining your oral health something to look forward to, not fear. Every aspect of our practice focuses on elevating the dental experience through personalized attention and clinical excellence. We take time to understand your unique needs, concerns, and smile goals, creating customized treatment plans that deliver lasting results.

Why Choose Us
When searching for a dentist in San Mateo, you deserve a practice that puts your needs first. Our commitment to excellence and patient comfort sets us apart in providing comprehensive dental care solutions.
Smart Technology, Remarkable Results
Step into a dental office where cutting-edge meets comfort. Our dentist in San Mateo has invested in 3D X-rays and same-day crown technology, ensuring faster, more accurate treatments with less time in the chair. You’ll appreciate how our skilled team uses these advanced tools to deliver quality dental care that’s both efficient and precise.
Every Dental Service Your Smile Needs
Skip the hassle of multiple dental offices. Our dentist in San Mateo provides expert care that covers everything from basic cleanings to advanced procedures, including preventive, cosmetic, and restorative dentistry. Whether you need Invisalign, dental implants, or a routine check-up, our experienced team offers comprehensive oral health solutions all under one roof.
Care Designed Around You
Your dental needs are as individual as your smile. Our dentist in San Mateo takes time to understand your concerns, answer questions, and explain treatment options in clear terms. By focusing on your specific goals and preferences, our dentist creates personalized care plans that deliver the results you want.
Comfort at Every Step
Imagine actually looking forward to your dental visit. We’ve crafted a welcoming space where even anxious patients feel at ease. From convenient scheduling to minimal wait times, we respect your time while ensuring each visit supports your oral health goals.
Expertise You Can Trust
Our team stays ahead of the latest dental techniques and innovations through continuous learning and practical experience. This dedication to professional growth means you receive modern, effective treatments from professionals who truly understand your needs. Experience the confidence that comes with expert care focused on your long-term oral health.
Meet the Doctors
Dr. Taw and Dr. Tran represent the perfect blend of clinical expertise and compassionate care at San Mateo Dental Care. Known for putting patient comfort at the forefront of their practice, they’ve created a dental environment where anxiety melts away and trust flourishes.
Read More
Meet the Doctors

Our Services and Specialties
At San Mateo Dental Care, we’re here to take care of all your dental needs with personalized care and attention.
- General Dentistry
- Preventive Dentistry
- Cosmetic Dentistry
- Restorative Dentistry
- Dental Implants
- Invisalign
General Dentistry
Involves the preventive and routine maintenance of your teeth and gums through regular check-ups, cleanings, and the early detection and treatment of dental issues.
Learn MorePreventive Dentistry
Focuses on maintaining the health of your teeth and gums through routine check-ups, cleanings, and the implementation of good oral hygiene habits.
Learn MoreCosmetic Dentistry
Involves the use of various procedures and treatments to enhance the appearance of your smile, including teeth whitening, veneers, bonding, and more.
Learn MoreRestorative Dentistry
Focuses on repairing damaged or missing teeth to restore function and appearance.
Learn MoreDental Implants
Dental implants are a permanent and natural-looking solution for replacing missing teeth, providing a stable foundation for your smile.
Learn MoreInvisalign
Invisalign is a popular cosmetic dentistry treatment that uses clear, removable aligners to straighten teeth and correct bite issues without the need for traditional metal braces.
Learn MoreAdvanced Technology for Superior Care
At San Mateo Dental Care, we’re committed to providing the most advanced and comfortable dental experience possible. Our cutting-edge technology enables precise, efficient treatments and supports your health in every way.

CEREC Same-Day Crowns
With CEREC technology, we can design and create custom dental crowns, inlays, and onlays in just one visit using precise 3D imaging. No temporary crowns or follow-up appointments—just beautiful, durable restorations on the same day.

Sirona CBCT 3D X-Ray
Our Sirona CBCT 3D X-Ray system provides high-resolution images of your teeth and jaws, allowing us to diagnose with unmatched accuracy. This advanced imaging reveals fine details for treatment planning, especially for implants and complex cases.

PICASSO Lite Laser
The PICASSO Lite Laser enables a range of treatments, from periodontal therapy and soft tissue surgery to teeth whitening. This state-of-the-art tool enhances comfort, speeds up healing, and minimizes invasiveness for a better experience.
Navigate Your Way to a Healthy Smile
Welcome to San Mateo Dental Care! Our experienced team, led by our dentist in San Mateo, is committed to helping you and your loved ones achieve optimal oral health. We offer a comprehensive range of dental services, including preventive care, cosmetic dentistry, orthodontics, and more. With the latest advancements in dental technology and techniques, our dentist in San Mateo can customize a treatment plan tailored to your unique needs and goals. Our compassionate and patient-centered approach ensures a comfortable and stress-free visit every time. Let us guide you on your journey to a healthy, beautiful smile.
Prevention Strategies
Preventing plaque and tartar begins with diligent oral hygiene:
- Brushing and Flossing: Regular brushing with fluoride toothpaste and daily flossing can remove plaque before it turns into tartar.
- Mouthwash: Using an antiseptic mouthwash can help reduce bacteria and flush out food particles.
- Balanced Diet: Reducing the intake of sugary and starchy foods can decrease the formation of plaque.
Treatment Options
San Mateo Dental Care offers professional treatments, such as scaling and root planing, to effectively remove plaque and tartar. These treatments are crucial for preventing the progression of gum disease and are performed using gentle, effective methods to ensure patient comfort.
The Importance of Regular Dental Visits
Regular dental check-ups at San Mateo Dental Care are essential for early detection and treatment of plaque and tartar buildup. Dr. Taw, Dr. Tran, and our skilled dental team provide comprehensive examinations and cleanings to maintain your oral health and prevent future complications.
We encourage you to maintain regular dental appointments and consult with us for the best strategies in preventing and treating plaque and tartar. Schedule your next visit by calling 650-344-7500, or visit our practice at 135 N San Mateo Dr, San Mateo, CA 94401.
Maintaining good oral hygiene and seeking professional dental care are key to preventing and treating the hidden dangers of plaque and tartar. At San Mateo Dental Care, Dr. Taw and Dr. Tran are dedicated to providing the education and treatments necessary to keep your smile healthy and bright. Together, we can tackle plaque and tartar head-on, ensuring a healthier smile and a healthier you.

Your Guide to Lifelong Dental Health
At San Mateo Dental Care, we’ve been helping our patients navigate the world of dental care for over 30 years. Led by Dr. Taw and Dr. Tran, we treat each patient as a friend and neighbor, providing personalized care that is tailored to their unique needs and goals. From the moment you first contact our office in San Mateo, CA, we’re committed to guiding you toward optimal oral health. With a focus on advanced dental techniques and compassionate care, we’re dedicated to building long-lasting relationships with our patients. Whether you need routine care or more advanced procedures, we’re here to help you achieve a healthier smile. Let us be your partner in your journey towards lifelong dental wellness.

Charting a Course for Compassionate Dental Care
At San Mateo Dental Care, we’re dedicated to guiding our patients toward optimal oral health with a patient-centered approach that puts you at ease. We understand that navigating the world of dentistry can be overwhelming, which is why we prioritize compassionate care that relieves anxiety and creates a positive dental experience. Our experienced team offers a range of sedation options, including oral sedation and nitrous oxide, to help alleviate any fears or anxieties you may have. With a focus on advanced dental techniques and personalized care, we’re committed to creating a stress-free and comfortable environment for our patients.
Schedule An Appointment
Get The Care You Need with our Dentist in San Mateo
At San Mateo Dental Care, we make it easy to schedule your dental appointments. You can contact us in several convenient ways, including phone, email, or by clicking here. Our friendly and knowledgeable staff will work with you to find an appointment time that fits your schedule. We offer flexible hours to accommodate your busy lifestyle.
Read More
If you have dental insurance, we accept most plans and will work with you to maximize your benefits. We also offer flexible payment options, including CareCredit, to help make dental care more affordable.
Contact us today to schedule your appointment and experience the difference exceptional dental care can make in your life. We look forward to hearing from you!
Online Scheduling
Crown and Bridge Solutions That Restore Your Smile
Our dentist in San Mateo Dental Care understands how missing or damaged teeth can affect your confidence and daily life. We provide expert crown and bridge treatments that seamlessly blend with your natural teeth. Our advanced techniques ensure your restoration looks and feels completely natural while providing the durability you need for everyday activities.
Protecting Your Oral Health Through Prevention
A well-crafted crown or bridge does more than just replace missing teeth. We take a proactive approach to preserve your surrounding teeth and maintain proper bite alignment. Regular visits to our dentist help monitor your restoration and prevent potential complications.
- Custom-fitted crowns protect weakened teeth from further damage
- Bridges prevent neighboring teeth from shifting
- Professional cleaning techniques extend restoration longevity
- Regular checkups catch potential issues early
- Detailed maintenance instructions for home care
Building Your Future With Long-lasting Restorations
Modern dental technology allows us to create restorations that stand the test of time. When you visit our dentist for a crown or bridge, we use premium materials designed to last for years. Our precise fitting process ensures maximum comfort and functionality.
- Digital imaging creates perfect-fitting restorations
- High-strength ceramics provide natural appearance
- Advanced bonding techniques ensure stability
- Bite adjustments optimize comfort
- Professional polishing maintains appearance
Benefits That Transform Your Daily Life
Our crown and bridge solutions deliver immediate improvements to your smile and confidence. Working with an experienced dentist means getting restorations that look natural and perform reliably. You’ll notice the difference in everything from speaking clearly to enjoying your favorite foods.
- Natural-looking results that match your smile
- Improved speech and chewing ability
- Restored facial structure support
- Better oral hygiene accessibility
- Enhanced smile confidence
Your smile deserves the best care possible. We combine proven techniques with modern innovation to deliver crown and bridge restorations that look natural and function perfectly. Our commitment to excellence means you can trust our dentist to provide lasting results that keep you smiling confidently for years to come.

Advanced Invisalign Treatment for Smile Transformation
Traditional metal braces aren’t your only path to straighter teeth. We can now offer Invisalign treatment to address alignment issues while maintaining your professional appearance. These revolutionary clear aligners gradually shift your teeth into optimal position, letting you smile confidently throughout the entire process.
Clearing Up Common Invisalign Misconceptions
Many patients come to us wondering if Invisalign really works as well as traditional braces. As your dentist, we understand these concerns. At San Mateo Dental Care, we’ve helped countless patients achieve remarkable results using this innovative treatment method. The key lies in wearing your aligners consistently and following your personalized treatment plan.
- Treatment time rivals traditional orthodontics
- Aligners effectively fix complex bite issues
- Clear plastic remains virtually invisible
- Cleaning and maintenance prove surprisingly simple
- Results last when paired with proper retainer use
Solutions for Every Smile Challenge
Each patient’s teeth tell a unique story. That’s why our dentist creates a custom treatment sequence using advanced 3D imaging technology. This precise approach allows us to address specific alignment issues while respecting your unique dental anatomy and ensuring optimal results.
- Personalized treatment planning for each case
- Progressive adjustments at your own pace
- Targeted movement for problem areas
- Comfortable fit throughout treatment
- Regular progress monitoring and refinement
Making Real Changes to Your Daily Life
The impact of Invisalign extends far beyond straight teeth. Our dentist understands that confident smiles open doors and create opportunities. Throughout your treatment journey, you’ll notice improvements in both your appearance and oral health, leading to lasting positive changes.
- Better cleaning access between teeth
- Improved bite alignment reduces wear
- Enhanced speech clarity and comfort
- Boosted self-confidence in social settings
- Decreased risk of future dental issues
A beautiful smile shouldn’t require uncomfortable compromises. Through careful planning and expert oversight, we help you achieve the straight, healthy smile you’ve always wanted. Your journey to better alignment starts with a consultation to create your personalized treatment plan.

Modern Fillings Built for Lasting Protection
Dental decay requires swift attention from an experienced dentist to prevent further damage. The modern filling materials we use at San Mateo Dental Care blend seamlessly with your natural teeth while providing exceptional durability. These advanced materials bond directly to your tooth structure, creating a strong barrier against future decay.
Understanding Your Filling Options
When treating cavities, our dentist carefully evaluates which filling material will work best for your specific situation. Today’s composite materials offer both strength and aesthetics, making them ideal for most tooth restorations. The application process preserves more healthy tooth structure than ever before.
- Composite materials match natural tooth color
- Precise application techniques prevent gaps
- Materials bond directly to tooth structure
- Temperature-resistant properties prevent sensitivity
- Biocompatible components support oral health
Traditional vs Contemporary Filling Methods
Modern dental technology has revolutionized how dentists approach cavity treatment. Unlike older metal fillings, today’s materials distribute bite forces more naturally throughout your tooth. This advancement helps prevent common issues like cracking and temperature sensitivity.
- Enhanced aesthetics over metal options
- Stronger bonding to natural tooth structure
- More conservative preparation methods
- Reduced post-treatment sensitivity
- Better protection against bacterial invasion
The Science Behind Modern Filling Materials
Understanding the composition of current filling materials helps explain their effectiveness. Our dentist uses materials that chemically bond to your tooth, creating a tight seal that blocks out bacteria. These sophisticated composites contain particles specifically designed to withstand daily wear while maintaining their appearance.
- Advanced polymer technology adds strength
- Nano-particles improve polishability
- Light-curing ensures complete hardening
- Flexible properties prevent stress points
- Multiple layers create natural appearance
Protecting your teeth from decay remains our top priority. Through careful material selection and precise application techniques, we help safeguard your smile for years to come. Schedule a consultation with our dentist to learn which filling options best suit your needs.

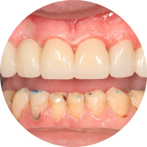
Professional Dental Cleanings That Keep Diseases Away
Regular dental cleanings form the foundation of excellent oral health. Working with your dentist to maintain a consistent cleaning schedule helps prevent common problems before they start. At San Mateo Dental Care, our thorough cleaning process removes harmful buildup that regular brushing and flossing might miss, protecting your smile from decay and gum disease.
Investing in Your Long Term Oral Health
Professional cleanings do more than just brighten your smile. Our dentist monitors subtle changes in your oral health during each visit, identifying potential issues early. This proactive approach saves time, money, and discomfort by addressing problems while they remain small and manageable.
- Early detection of developing issues
- Removal of stubborn tartar deposits
- Documentation of gum health changes
- Identification of grinding patterns
- Assessment of existing dental work
What Happens During Your Professional Cleaning
Understanding each step of your cleaning helps you appreciate its importance. Our skilled dentist uses specialized instruments to access areas that home care can’t reach effectively. This detailed process includes examining your entire mouth while removing harmful substances that contribute to decay.
- Comprehensive oral examination
- Precise scaling of tooth surfaces
- Professional polishing treatment
- Personalized hygiene instruction
- Gum health measurements
The Science of Clean Teeth
Modern dental cleaning techniques combine traditional methods with advanced technology. Our dentist employs ultrasonic tools and specialized pastes to remove stains and buildup while protecting your enamel. This scientific approach ensures maximum effectiveness without compromising tooth structure.
- Ultrasonic removal of deposits
- Application of specialized paste
- Targeted fluoride treatment
- Antimicrobial therapy when needed
- Advanced plaque detection
Maintaining optimal oral health requires partnership between you and your dental team. Regular cleanings provide opportunities to address concerns, update home care techniques, and preserve your smile for years to come. Schedule your next cleaning to experience the difference professional care makes.

Dental Implants Through Advanced Technology
The evolution of tooth replacement has reached new heights through modern implant techniques. Our dentist now utilizes sophisticated 3D imaging and precision-guided placement to create replacement teeth that feel completely natural. The skilled team at San Mateo Dental Care combines years of implant experience with cutting-edge technology to restore both function and aesthetics to your smile.
Advantages of Modern Implant Treatment
A permanently anchored implant transforms your dental experience. Working with our dentist, you’ll discover how this solution improves everything from speech to eating comfort. The titanium post acts like a natural tooth root, maintaining bone health while supporting your new tooth.
- Preserves neighboring tooth structure
- Maintains proper jaw alignment
- Prevents bone loss in the jaw
- Restores natural chewing ability
- Functions independently of other teeth
Life-changing Results From Implant Technology
Missing teeth affect more than just your smile. When an experienced dentist places your implant, it restores confidence in social situations and eliminates dietary restrictions. The permanent nature of implants means you can laugh, eat, and speak without worrying about movement or slippage.
- Natural-looking replacement teeth
- Improved facial structure support
- Enhanced speaking clarity
- Renewed eating enjoyment
- Better overall oral health
Making a Lasting Impact on Your Oral Health
The decision to get dental implants creates positive changes throughout your mouth. Our dentist carefully plans each step of the process to ensure optimal placement and function. This attention to detail results in a replacement tooth that looks, feels, and performs like your natural teeth.
- Stabilizes surrounding teeth
- Promotes healthy bone growth
- Prevents facial sagging
- Supports proper bite force
- Maintains gum health
Replacing missing teeth with implants represents an investment in your long-term health and happiness. Through careful planning and precise execution, we create replacement teeth that blend seamlessly with your smile. Contact our dentist in San Mateo today to explore how implant technology can transform your dental experience.

Sedation Dentistry Solutions for Anxiety Free Care
Dental anxiety shouldn’t prevent you from maintaining optimal oral health. Our dentist understands these concerns and offers various sedation options tailored to your comfort level. The experienced team at San Mateo Dental Care provides safe, monitored sedation that helps you receive necessary treatment while feeling calm and relaxed.
Separating Fact From Fiction in Dental Sedation
Many patients have questions about sedation safety and effectiveness. Our dentist carefully evaluates your medical history and anxiety level to recommend the most appropriate sedation method. Modern sedation techniques allow you to remain responsive while feeling completely at ease throughout your procedure.
- Sedation methods suit different anxiety levels
- Multiple safety protocols protect patients
- Recovery times vary by sedation type
- Communication remains possible during treatment
- Vital signs undergo constant monitoring
Real Benefits of Sedation Options
Choosing sedation dentistry opens new possibilities for oral health improvement. Our skilled dentist can complete multiple procedures in one visit while you stay comfortable and relaxed. This approach saves time and reduces the overall stress associated with dental visits.
- Accomplish more in fewer appointments
- Experience time passing quickly
- Move comfortably during treatment
- Maintain gag reflex control
- Remember little about procedures
Creating Positive Dental Experiences
The right sedation approach transforms your view of dental care. Working with your dentist to select appropriate sedation helps build confidence for future visits. Many patients find their anxiety decreasing over time as they associate dental care with comfort rather than stress.
- Overcome past negative experiences
- Build trust with dental team
- Develop healthy oral care habits
- Receive overdue treatment comfortably
- Break the cycle of dental fear
Taking care of your oral health shouldn’t cause emotional distress. Through careful selection of sedation methods and close monitoring during treatment, we help you receive necessary care in complete comfort. Schedule a consultation with our dentist to learn which sedation options best match your needs.

Wisdom Teeth Management and Treatment
Understanding the development of wisdom teeth helps guide treatment decisions for optimal oral health. Our skilled dentist tracks these third molars through regular examinations and x-rays, determining if removal becomes necessary. The experienced team at San Mateo Dental Care monitors wisdom tooth development to prevent potential complications before they arise.
Taking Action Before Problems Develop
Early evaluation of wisdom teeth positioning allows our dentist to plan appropriate intervention. Regular monitoring reveals potential space issues or alignment problems that could affect neighboring teeth. This proactive approach helps prevent emergency situations and reduces the risk of complications.
- Track wisdom tooth development path
- Identify potential spacing problems
- Monitor surrounding tooth health
- Assess bone structure changes
- Evaluate gum tissue health
Addressing Common Wisdom Tooth Challenges
When wisdom teeth create problems, swift intervention protects your oral health. Our dentist evaluates symptoms like pressure, pain, or shifting teeth to determine the best treatment approach. Modern extraction techniques prioritize comfort while resolving current and preventing future issues.
- Relieve pressure on adjacent teeth
- Prevent infection development
- Stop orthodontic complications
- Eliminate food traps
- Maintain proper bite alignment
Solutions for Every Extraction Scenario
Each wisdom tooth situation requires a unique approach. Working with your dentist, you’ll develop a treatment plan that addresses your specific needs. Advanced imaging technology guides the process, ensuring the safest and most effective removal method for your case.
- Surgical planning using 3D scans
- Customized sedation options
- Precise extraction techniques
- Detailed aftercare instructions
- Recovery monitoring schedule
Proper wisdom tooth management plays a crucial role in maintaining long-term oral health. Through careful evaluation and timely intervention, we help protect your smile from potential complications. Schedule a consultation with our dentist to understand your wisdom teeth situation and explore appropriate treatment options.

Full Arch Implants Transforming Lives and Smiles
Replacing all teeth in an arch creates profound changes in daily living quality. Our dentist at San Mateo Dental Care understands how full arch implants restore more than just teeth—they rebuild confidence and lifestyle freedom. This revolutionary approach anchors an entire row of teeth using strategically placed implants, eliminating the limitations of traditional dentures.
Tomorrow's Smile Starts Today
Modern full arch technology represents the future of tooth replacement. Working with your dentist, you’ll discover how strategic implant placement supports a complete set of new teeth while maintaining jaw strength. This innovative solution adapts to your bone structure, creating lasting stability for your new smile.
- Digital planning maximizes precision
- Biocompatible materials support healing
- Advanced materials resist wear
- Customized bite adjustment
- Progressive loading techniques
Living Better With Permanent Teeth
Full arch implants fundamentally change how you experience daily activities. Our dentist designs each arch to function like natural teeth, allowing you to bite, chew, and speak with complete confidence. This permanent solution eliminates common denture concerns while promoting long-term oral health.
- Enjoy unrestricted food choices
- Speak naturally and clearly
- Maintain facial structure
- Clean teeth normally
- Live without adhesives
Advantages of Complete Arch Restoration
The benefits of full arch implants extend throughout your daily routine. This comprehensive solution provides stability that traditional dentures can’t match. Many patients find themselves rediscovering simple pleasures like laughing openly or enjoying favorite foods without worry.
- Preserves healthy jaw bone
- Restores proper bite force
- Eliminates slipping concerns
- Supports facial muscles
- Feels like natural teeth
Choosing full arch implants represents an investment in your health and happiness. Through careful planning and precise execution, we create beautiful, functional smiles that stand the test of time. Schedule time with our dentist in San Mateo to explore how full arch implants can revolutionize your dental experience.

Smile Gallery Transforming Lives, One Smile at a Time
At San Mateo Dental Care, we believe that a beautiful smile can have a transformative impact on your life. Our smile gallery showcases some of the incredible smile makeovers we’ve achieved for our patients with our advanced cosmetic dentistry techniques. From fixing crooked teeth to replacing missing teeth, our skilled team can help you achieve the smile you’ve always wanted. Take a look at our gallery and see for yourself the stunning transformations we’ve achieved for our patients. Let us help you transform your life with a beautiful, confident smile at San Mateo Dental Care.



Our Shining Testimonials
See Why Patients Choose Our Dentist in San Mateo
Let’s work together to achieve the healthy, confident smile you deserve! Your path to better oral health starts with a simple phone call – schedule your dental appointment today.
FAQs About San Mateo Dental Care
Your Questions, Our Answers
From scheduling appointments to understanding insurance policies, we strive to provide clear and concise information to help make your experience with us as smooth and stress-free as possible. If you have any additional questions, please don’t hesitate to reach out to us at 650-344-7500.
What Insurances do you accept?
At our practice, we collaborate with all insurance providers and are eager to assist you in processing your insurance claims so that you can receive the full extent of your benefits. If you have any questions or would like to learn more about utilizing your dental insurance, please do not hesitate to reach out to us.
What if I don't have insurance?
For those without dental insurance, we have alternative options available. Our team will be happy to provide you with information on these options and help you select the one that best fits your needs and budget. We believe that everyone deserves access to quality dental care, and we are committed to making it as affordable and accessible as possible.
How often should I visit?
San Mateo Dental Care recommends visiting for preventive care every six months for optimal oral health. However, the frequency of visits may vary based on your unique needs and dental health history.
What services do you provide?
San Mateo Dental Care offers a comprehensive range of dental services, including preventive care, cosmetic dentistry, orthodontics, dental implants, sedation dentistry, and more.
What can I expect during my first dental visit?
Your initial visit to our San Mateo dentist includes a comprehensive oral health evaluation, digital X-rays if needed, and a personalized consultation with our dentist. We’ll take time to understand your dental history, discuss any concerns, and create a tailored treatment plan for your specific needs. This appointment is also a perfect opportunity to get comfortable with our team and ask any questions about your dental care experience.
How can I improve my oral health between dental visits?
Maintaining excellent oral health starts with proper brushing technique and daily flossing. Our skilled team will demonstrate the most effective methods for your at-home care routine and recommend specific products tailored to your needs. We also provide personalized tips for protecting your teeth based on your lifestyle and unique dental conditions.
Do you offer solutions for dental anxiety?
Our dedicated team specializes in helping anxious patients feel comfortable and relaxed during their dental visit. We combine a gentle approach with advanced techniques to ensure patient comfort throughout every procedure. From our calming office environment to our expert care methods, we’ve created an atmosphere where even the most nervous patients can receive the quality dental care they need.
How do you stay current with the latest dental techniques?
Our commitment to quality dental care includes regular participation in continuing education and investment in modern dental technology. We continuously update our knowledge and skills to provide you with the most effective and comfortable treatment options available. This dedication to advancement ensures you receive expert care using the latest proven techniques in dentistry.
How long do dental appointments typically take?
Routine cleanings and check-ups usually take about an hour, while more complex procedures may require additional time for optimal results. We respect your busy schedule and strive to minimize wait times through efficient appointment scheduling. Our investment in advanced dental techniques and same-day technologies helps reduce the number of visits needed for many procedures.





